*meta name="viewport" content="width=device-width, initial-scale=1, user-scalable=no">
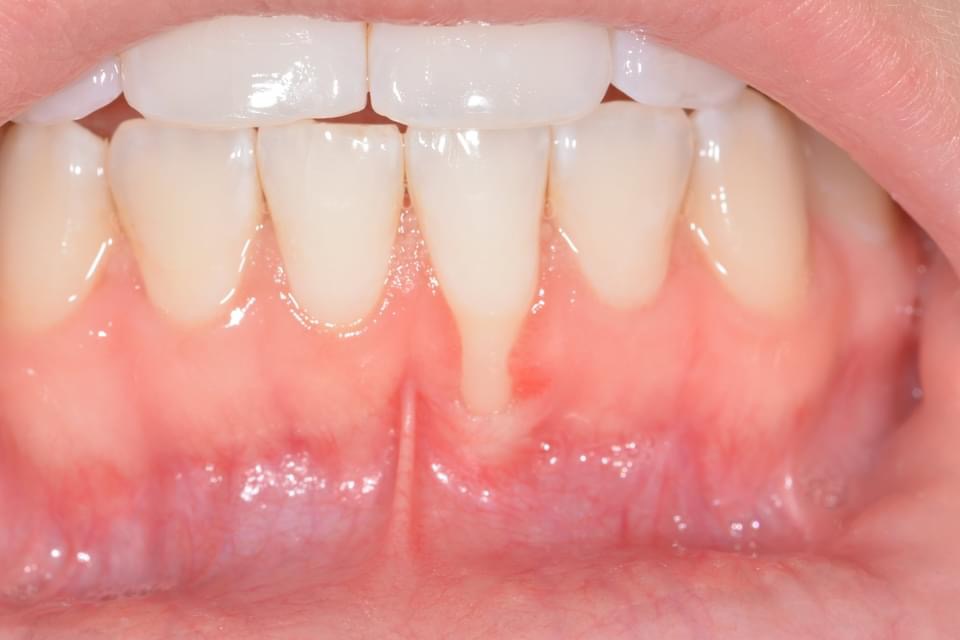
Gum grafting involves using a small piece of your own soft tissue to cover areas around teeth that have receded. Gum recession can be caused by aggressive brushing, smoking and gum disease. Not only does this make the teeth more sensitive, but it can increase the chances of developing tooth decay. We will use a small piece of soft tissue extracted from the palate area of the mouth and then graft it in front of these teeth.

A single tooth supported by an implant is often the best choice. Adjacent teeth are not affected and the area can be easily cleaned.



The reason soft tissue grafting might be needed is because you have receded gums. Gum recession is often caused by constant smoking, gum disease and because you're brushing too hard and aggressively. Unfortunately, gum recession leaves your teeth more susceptible to decay. Receding gums can even be an aesthetic problem, so it is important to consider soft tissue grafting to correct the issue.
To determine if soft tissue grafting is needed, we will perform an examination. If you have areas of moderate to severe gum recession, we may recommend that you have soft tissue grafting done. If you only have slight recession, we will recommend lifestyle and oral hygiene changes to prevent the issue from getting worse. If you need soft tissue grafting, it's a good idea to consider having the procedure done sooner rather than later.


.webp)
Our cosmetic dentist to “quarterback” the whole procedure.
These four specialists insure a great outcome. We also utilize three assistants to make sure everything runs smoothly. It usually takes most of a day to achieve this with all seven people just working on you.
The results are truly life changing.
The procedure begins with sedation of your choice so that you are relaxed and comfortable for surgery. We then remove a small piece of tissue from the palate of your mouth. This piece of tissue is placed over the areas where the gums have receded and sutures are placed so that it is unable to move. Over time, the soft tissue will fuse and bond with the surrounding area. In order to prevent gum recession from happening again, we recommend quitting smoking, properly brushing and flossing each day and switching to a soft bristle electric toothbrush.
If you would like to learn more about gum grafting, call our dental office today so that we can get you in for a convenient consultation appointment.