*meta name="viewport" content="width=device-width, initial-scale=1, user-scalable=no">

Thinking about veneers but unsure what they’ll actually look like on you? You’re not alone. One of the most common questions we hear at The Houston Dentists of Tanglewood is:
“How do I know I’ll like my veneers before they’re permanent?”
That’s where a Trial Smile comes in. If you’re considering veneers or a smile makeover in Tanglewood, Houston (77057), a Trial Smile allows you to preview your new smile before committing to final treatment.
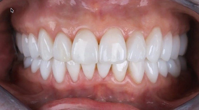
A Trial Smile is a temporary, realistic preview of your future smile. Using advanced digital scanning and smile design technology, we create a mock-up of your veneers and place it directly over your existing teeth.
This allows you to see:
Unlike simple simulations, a Trial Smile lets you experience the results in your own mouth.
Trial Smiles are most commonly used as part of our Veneers and Full Mouth Reconstruction / Smile Makeover treatments.
Veneers are a personal investment, and no two smiles are the same. A Trial Smile removes uncertainty and helps you feel confident before moving forward.
It allows you to:
Patients who are exploring instant orthodontics with veneers or larger cosmetic cases often find Trial Smiles especially helpful. You can read more about these options on our Ortho with Veneers page.
We begin with a comfortable, non-invasive digital scan of your teeth. This technology allows us to capture precise details without traditional impressions. Learn more about this process on our Intraoral Digital Scanning page.
Your smile is digitally designed based on your facial features, bite, and cosmetic goals. Dr. Tom Hedge uses his advanced training in cosmetic and reconstructive dentistry to guide this process.
A temporary version of your new smile is placed over your teeth so you can see how your veneers will look before any permanent work is done.
As Dr. Hedge explains, this allows patients to see the color, shape, and overall appearance of their veneers in real time.
A Trial Smile is ideal for patients considering:
If you’re unsure whether veneers or another cosmetic option is right for you, we may also discuss alternatives such as Dental Bonding during your consultation.
In many cases, a Trial Smile is included as part of a veneer or smile makeover plan. Costs can vary depending on the number of teeth involved and the complexity of the case.
During your visit, we’ll:
We offer flexible payment options through CareCredit and Cherry. More details are available on our Payment Plans page.
For many patients, the ability to preview their smile before committing provides invaluable peace of mind. We frequently see patients from Tanglewood, Memorial, Uptown, and the 77057 area feel far more confident once they’ve had the opportunity to try their new smile first.
If you’re investing in cosmetic dentistry, a Trial Smile helps ensure you love the final result.
The only way to know if a Trial Smile is right for you is through a consultation. During your visit, we’ll:
Visit us: 800 Bering Dr, Suite 340, Houston, TX 77057
Call or Text: (713) 782-4174
You can also explore additional cosmetic options on our Cosmetic Dentistry page.
Is a Trial Smile permanent?
No. It is completely temporary and reversible.
Can I request changes after seeing it?
Yes. Adjustments can be made before final veneers are created.
Do I need a Trial Smile for veneers?
Not always, but it is highly recommended for larger cosmetic or smile makeover cases.
Does insurance cover a Trial Smile?
Trial Smiles are considered part of cosmetic planning and are typically not covered by insurance.